Bezpłatne konsultacje implantologiczne In ONE z dr. Łukaszem Wojszwiłło
Czy zdarza Ci się zasłaniać usta podczas śmiechu? Czujesz skrępowanie, kiedy ktoś robi Ci zdjęcie? Twoja obecna proteza nie daje Ci komfortu i poczucia pewności siebie?
Wcale nie musi tak być! Mamy dla Ciebie coś wyjątkowego – niepowtarzalną okazję, by umówić się na bezpłatną konsultację implantologiczną In ONE z samym dr. Łukaszem Wojszwiłło, właścicielem Dental Corner. To nie jest zwykła konsultacja – to spotkanie z doświadczonym lekarzem, który specjalizuje się w implantologii i zna najnowsze i najskuteczniejsze metody odbudowy stałej na implantach. Odwiedź nas i dowiedz się, jak możesz odzyskać pełny, piękny uśmiech w jeden dzień dzięki metodzie In ONE!
Co to jest In ONE?
In ONE to innowacyjne podejście do całkowitej odbudowy uzębienia w zaledwie jeden dzień. W ciągu jednej wizyty wszczepiamy 4 lub 6 implantów i mocujemy na nich estetyczne, tymczasowe zęby.
Efekt? Od razu mówisz, jesz, uśmiechasz się — bez strachu, bez wstydu. Jeden dzień. Jeden zabieg. Jedna decyzja, która zmienia wszystko.
Dla kogo jest In ONE?
Co obejmuje konsultacja?
Twoim leczeniem zaopiekuje się:
Implantolog
Właściciel Centrum Implantologii i Ortodoncji Dental Corner. Jest doświadczonym lekarzem stomatologiem, ukończył studia na Wydziale Lekarsko-Stomatologicznym Akademii Medycznej we Wrocławiu. Jego zainteresowania zawodowe skupiają się przede wszystkim wokół implantologii, chirurgii stomatologicznej oraz protetyki.
Dlaczego warto?
Braki zębowe to nie tylko kwestia estetyki. To również wpływ na zdrowie, sposób mówienia, komfort jedzenia, a także pewność siebie w sytuacjach zawodowych i towarzyskich. Darmowe konsultacje In ONE z dr. Łukaszem Wojszwiłło to idealna okazja, by zrobić pierwszy krok w stronę nowego uśmiechu i nowego życia.
Rejestracja tylko do 17 października – zarezerwuj swój termin już teraz.
Nowy uśmiech zaczyna się od jednej decyzji.
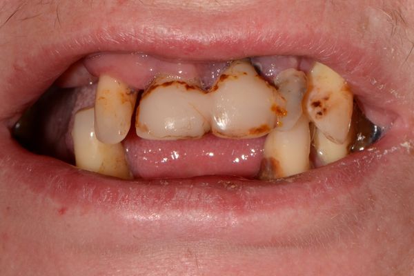
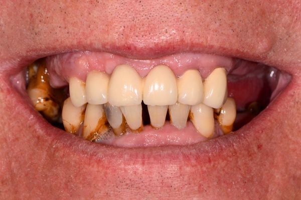
Pani Barbara
Pani Barbara trafiła do Dental Corner przez braki w zębach, które odbierały jej komfort mówienia i jedzenia. Po konsultacji okazało się, że także jej pozostałe uzębienie nie jest w dobrej kondycji. Tym samym zdecydowaliśmy się na zastosowanie metody IN ONE. Braki zębowe zostały przez nas uzupełnione implantami, a Pani Barbara w 1 dzień odzyskała estetyczny uśmiech i pożegnała się z wszelkimi kompleksami. Pacjentka znów może się swobodnie uśmiechać i jeść, a także nie musi się już niczego bać ani wstydzić.


Pan Mariusz
Pan Mariusz zgłosił się do Dental Corner z problemem brakujących zębów i marzeniem o pięknym, białym uśmiechu. Po konsultacji zdecydowaliśmy się na nowoczesną metodę IN ONE. W jeden dzień uzupełniliśmy braki implantami i odbudowaliśmy zęby, dzięki czemu Pacjent od razu mógł cieszyć się nowym, olśniewającym uśmiechem.
